
点击拨打
皮肤过敏可导致过敏性皮肤病,如皮炎、湿疹、荨麻疹等,可出现发痒、打喷嚏、流鼻水、泪眼、皮疹、气道阻塞、红肿干屑、水泡渗出等症状,其发生的原因多种多样,过敏原也不尽相当。在罕见的情况下,皮肤过敏反应甚至可能会危及生命。传统治疗皮肤过敏一般只能缓解症状,易复发,让患者不胜其扰。汕头肤康皮肤病医院针对皮肤过敏采用“治疗方法”,缓解了众多皮肤过敏患者的困扰。

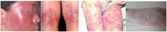
皮肤过敏的症状
》》》结合自己的症状与在线医师进行沟通交流获得详细的治疗建议《《《
细分过敏性皮肤病的四大种类
1、日光性皮炎:日光性皮炎是由于一些人对紫外线过敏所致,通常在日晒后1-2小时后发病,皮疹多发面部,颈部和颈前“v”形区,手背及上肢,表现为小丘疹,小水疱,自觉瘙痒,严重时非光照部分也可起皮疹,不疼痛,瘙痒明显,消失很慢。如不及时治疗,可形成慢性光敏性皮肤病。因此在太阳光强时要减少外出,外出时也要作好防晒措施。
2、虫咬性皮炎:与蚊虫叮咬有关,如臭虫、跳蚤、虱子、螨、蚊等昆虫叮咬皮肤后注入唾液,诱发的过敏性反应。预防此病应减少到草丛,树阴下或潮湿,蚊虫多的地方,室内可熏蚊香。较好不要用红花油涂抹,因为这样会导致过敏,反而加重病情。
3、湿疹:如果长期穿不透气的鞋子,闷热潮湿时,脚就会脱皮、痒、长水疱,很多人误以为是脚气,其实是湿疹。防止湿疹,局部要保持干燥,用抗过敏药膏涂抹患处,2-3次,要穿透气的鞋子。因为湿疹的症状和脚癣的相同,所以,治疗前要做个真菌试验,判断到底是否属于真菌感染。
4、荨麻疹:一些是食物诱发过敏的因素。荨麻疹就是患者吃了鱼、虾、蟹、蛋、牛肉、草莓、可可、番茄、大蒜等过敏食物发病。
》》》结合自己的症状与在线医师进行沟通交流获得详细的治疗建议《《《
传统治疗皮肤过敏方法的弊端
1、西医药物治疗:传统西医治疗大多采用治疗方法,对某些较严重的过敏体质者,医生会给服用抗组胺类药,或黄胺类药或激素类药,但大量的黄胺类、激素类的药物运用只是起到缓解症状的作用,而且副作用比较大,特别对婴幼儿、儿童、青少年的发育有比较大的影响。过敏病人都是在一次次的常年累月的反复发作中缓解症状,身体的免疫能力日趋低下,为痛苦。
2、西医外用药剂:传统西医的外用药剂为皮质激素类药物,如溶液洗剂、乳剂、泥膏、油剂、软膏、乳剂、涂膜剂、酊剂及硬膏,长时间或大剂量外用,会成瘾导致药物依赖性,较常见的是用药后病情好转,一旦停药后,用药部位原发病变加重;如再停药,反跳性再发,还会引起机体糖、蛋白质、脂肪及水电解质等一系列物质代谢紊乱,破坏机体的防卫系统和抑制免疫反应能力,后果比以前更严重。
3、传统仪器治疗:一般西医所采用的物理治疗,多违背肌肤新陈代谢的自然规律,强制性祛除皮肤过敏,造成皮肤角质层的伤害,甚至是角质层萎缩的可能,易色素沉着,易复发。
温馨提示:得了皮肤过敏不要擅自去药店买药使用,建议先去到的医院经医生诊断后,根据诊断结果有针对性的用药。另外平时多注意休息及饮食,避免接触过敏源。如果您关于皮肤过敏的什么疑问,可以在线咨询医师。![]()
温馨提示:本网站已加密,您的隐私安全,就诊前通过手机预约可免排队等候,免医生挂号费。
365天无假日医院
门诊时间:8:00—20:00
医院电话:17099839115
汕头肤康皮肤病专科
地址:汕头市龙湖区长江路15号信宝大厦